Skip to main navigation Skip to main content Skip to page footer

PRT

Gestützte Injektionsbehandlung der Wirbelsäule (Facetteninfiltration) sowie von Bandscheibenvorfällen, Nervenwurzelreiz- und Kompressionssyndromen (PRT)

Kooperative Schmerztherapie als Alternative zur Bandscheiben- und Wirbelsäulenoperation Einleitung: PRT, ein interventionelles, schmerztherapeutisches Verfahren. Mit der periradiculären Therapie (PRT) bieten wir Ihnen in kooperativer Schmerztherapie mit radiologischen Praxen ein Behandlungskonzept für die Behandlung Ihres Wirbelsäulenschmerzproblems.

Wir kombinieren die PRT-Behandlung (CT-gestützte Injektion an die betroffene Bandscheibe und die bedrängte seitlich austretende Nervenwurzel) mit einer CT-gestützten Arthrose Injektionsbehandlung der kleinen Wirbelgelenke (sogenannte Facettenarthrose) mit Hyaluronsäure.

Die Methode: Bei der periradiculären Injektionstherapie handelt es sich um eine lokale Behandlung gereizter Nervenwurzeln mit einer Kombination aus Lokalanästhetikum und Corticosteroid. Diese Therapieform ist in allen Segmenten der Wirbelsäule durchführbar. Der Wirkmechanismus dieses Behandlungsverfahrens wird folgendermaßen erklärt: Das Corticosteroid führt zum Abschwellen der gereizten Nervenwurzel. Durch präzise Applikation unmittelbar an „den Ort des Geschehens“ kann die Dosis niedrig gehalten werden, so dass systemische Nebenwirkungen selten sind. 

Das Cortison wird als Depotpräparat verabreicht, damit die Wirkung über einen längeren Zeitraum anhält. Die außerdem in Kombination eingesetzten Lokalanästhetika haben neben der erwünschten lokalen Schmerzausschaltung auch eine antiphlogistische (abschwellende) Wirkung, die gezielt zur Beruhigung der gereizten Nervenwurzel eingesetzt wird.

Für welche Wirbelsäulen-Erkrankungen ist die PRT/CT gestützte Facetteninfiltration geeignet?

  • Der frische Bandscheibenvorfall mit Nervenwurzelreiz / („Ischiasbeinschmerz“) und Nervenwurzelkompressionssyndrom („Ischiasbeinschmerz mit Missempfindungen / Taubheitserscheinungen bis hin zu leichten, reversiblen Lähmungserscheinungen).
  • Der bereits länger bestehende Bandscheibenvorfall mit immer wieder aufkehrenden Nervenwurzelerscheinungen im Arm- oder Beinbereich.
  • Operativ vorbehandelte Bandscheibenvorfälle mit unbefriedigendem Behandlungsresultat und verbliebenen Nervenwurzelreiz- und Kompressionssyndrom.
  • Degenerative (abnutzungsbedingte) Hals- und Lendenwirbelsäulenveränderungen mit Verschleißeinengungen der Nervenwurzelaustrittsöffnungen und hieraus resultierenden Nervenwurzelreiz- und Kompressionserscheinungen.
  • Der abnutzungsbedingte tiefe Kreuzschmerz (ausgelöst durch die Arthrose der kleinen Wirbelgelenke = Facettengelenkarthrose) mit pseudoradiculärer Ausstrahlung und / oder degenerativer Einengung der Nervenaustrittslöcher (sogenannte Rezessusstenose).

Wirbelsäule

Die Risiken der PRT/CT-gestützten Facetteninfiltration

Bei der PRT und der CT-gestützten Facetten-Injektion handelt es sich um ein sogenanntes interventionelles Schmerztherapieverfahren.

Es wird eine Injektionsbehandlung unter Lokalanästhesie der Haut und des Unterhautgewebes durchgeführt. Hierdurch ist die Behandlung nahezu schmerzarm. Lediglich ein Druckgefühl im Nacken oder im Rücken wird gespürt. Grundsätzlich besteht wie bei jeder Injektionsbehandlung ein Risiko für Infektion und Nerven- und Gefäßverletzungen. Durch den gewählten Zugangsweg und die gleichzeitig gewährte Präzision bedingt durch die CT-Steuerung mit Sichtkontrolle sind diese Risiken jedoch auf ein Minimum reduziert. Kontraindikation bestehen nur bei entzündlichen Prozessen und bei Einnahme von stark blutverdünnenden Medikamenten (z.B. Marcumar).

Vorteile der Computertomographie gestützten periradiculären Therapie und Facetteninfiltration- Risikoarmes minimal invasives Behandlungsverfahren- weitgehend schmerzfreie Injektionstechnik- durch präzise Behandlung der genauen Schmerzursache- ambulante Durchführung- kein Risiko einer Narbenbildung wie nach einer Bandscheibenoperation- keine langen Klinikaufenthalte im Rahmen von Anschlussheilverfahren.

Eine Wiederholung dieser risikoarmen Therapie ist, falls erforderlich, jederzeit möglich.

Der Ablauf einer PRT-Behandlung/CT-gesteuerten Facetteninfiltration

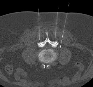
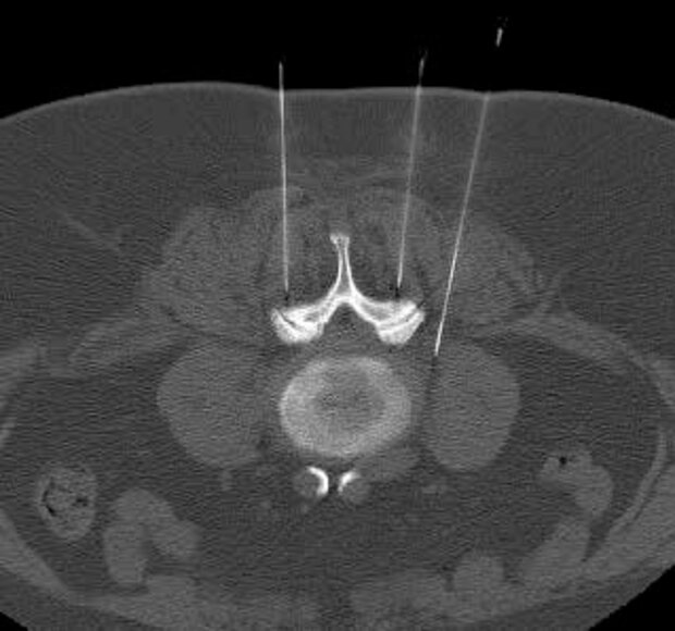
Durch die körperliche Untersuchung sowie der angefertigten Röntgenaufnahmen und Kernspintomographiebilder ist das Ausmaß sowie der genaue Ort Ihrer Wirbelsäulenerkrankung genau bekannt. Im Computertomogramm (CT) des mit unserer Praxis kooperierenden Radiologen wird das betroffene Wirbelsäulensegment mit der befallenen Nervenwurzel und den veränderten kleinen Wirbelgelenken (Facetten) eingestellt. Nun wird in Bauchlage eine kleine lokale Haut-und Stichkanalbetäubung durchgeführt.

Anschließend wird die eigentliche Behandlungsnadel im genau vorgeplanten Winkel, in der richtigen Höhe der Wirbelsäule millimetergenau bis an Nervenwurzel und das Wirbelgelenk vorgeschoben. Dies ist nahezu schmerzfrei – man spürt „einen Druck“ im Rücken. Das anschließend angefertigte Kontroll-CT-Schnittbild zeigt eine korrekte Lage der Behandlungsnadel. Erst jetzt wird das Medikament exakt positioniert.

Der Vorteil der CT-Steuerung

  • Millimetergenaue Positionierung der Nadel und des Medikamentes.
  • Dadurch hohe Wirkstoffkonzentration am Schädigungsort der Wirbelsäule und eine hohe Sicherheit zur Vermeidung von Nerven- und Gefäßverletzungen. Die beschriebene Intervention dauert ca. 10 Minuten.

Anschließend werden Sie bezüglich Kreislauf- und Allgemeinbefinden überwacht und können dann den Weg nach Hause antreten.